운동 후 발뒤꿈치뼈 통증 및 저림 증상 원인

안녕하세요 문무남의 헬스케어입니다. 운동 후에 발뒤꿈치뼈가 욱신거리고 저리는 통증이 느껴지시나요? 잘 오셨습니다. 이곳에서 해당 통증의 원인들과 치료법들에 대해서 자세하게 알아보실 수 있습니다.
가장 먼저 운동 후 발뒤꿈치뼈를 포함한 발바닥 부위에 통증이 느껴지는 이유는 크게 세 가지 원인이 존재합니다. 바로 족저근막 부위 염증과, 발뒤꿈치뼈 피로골절과, 아킬레스건 염증입니다. 이 세 가지 원인은 경우에 따라 개별적으로 나타나는 경우도 있고, 복합적으로 나타나는 경우도 있습니다.
그런데 아마 높은 강도의 운동을 자주 수행하시는 분들이라면, 대부분 복합적인 형태로 통증이 나타나실 겁니다. 우선 해당 글에서는 발뒤꿈치뼈 자체의 통증을 유발하는 '발뒤꿈치 피로골절'에 대해서 설명드릴 예정입니다.
그러나 발뒤꿈치뼈 외에 발바닥 아치 부위에 해당하는 족저근막 또는 아킬레스건 부위에도 동시다발적인 통증을 앓고 계시다면, 아래 글을 먼저 확인하셔서 현재 증상에 따른 질환을 스스로 감별해 보시길 바랍니다.
걸을때 발뒤꿈치 통증이 발생하는 원인 3가지
걸을 때 발뒤꿈치 통증 원인 3가지 안녕하세요 문무남의 헬스케어입니다. 이번 글에서는 걸을 때마다 발뒤꿈치가 욱신거리고 아픈 원인과 증상들에 대하여 알아보려 합니다. 발뒤꿈치에 통증이
jaid.2quater.com

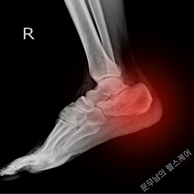
발뒤꿈치뼈(종골) 피로골절이란?
발뒤꿈치뼈 피로골절이란, 발뒤꿈치를 구성하는 뼈인 종골에 작은 균열이나 미세한 골절이 생기는 것을 의미합니다. 즉 반복적이고 과도한 스트레스로 인해 뼈에 미세한 실금이 가는 것이라고 볼 수도 있습니다. 피로골절과 미세골절은 둘 다 같은 용어에 해당합니다.
발뒤꿈치뼈 피로골절은 주로 맨 발로 달리기를 하거나, 줄넘기를 하는 경우 자주 발생하는 질환으로 경우에 따라 '신스프린트'라고 하는 정강이뼈 미세골절과 동시다발적으로 발생하는 경우도 있습니다. 지금부터 해당 질환의 주요 원인과 증상 및 치료법에 대하여 자세히 알아보도록 하겠습니다.

발뒤꿈치뼈 피로골절의 증상
발뒤꿈치뼈에 피로골절이 발생한 경우, 환부에 나타나는 주요 증상들을 아래와 같습니다.
1. 발의 통증
피로골절의 가장 흔한 증상으로는, 걸을 때마다 발뒤꿈치 또는 발바닥 전체가 욱씬거리고 저리는 통증입니다. 그러나 휴식을 취하면 잠시동안 나아졌다가, 다시 신체활동을 하게 되면 금새 악화되는 것이 특징입니다.
2. 붓기
피로골절이 발생한 경우, 환부 주변에 붓기가 발생할 수 있으며 손으로 만졌을 때 약간 부드럽고 말랑거리는 느낌이 들 기도 합니다.
3. 피멍 또는 변색
피로골절의 정도가 심할 경우, 환부 주변에 붓기가 발생함과 동시에 옅은 피멍이 관찰될 수도 있습니다.
4. 뻣뻣한 느낌
피로골절이 발생한 부위의 발 전체에 둔한 느낌과 뻣뻣함이 느껴져서, 걷거나 뛰는 등의 신체활동을 하는 것이 어려울 수도 있습니다.
5. 압통
피로골절이 의심되는 발뒤꿈치의 양 옆 부위를 손으로 꾹 잡았을 때, 압통이 크게 느껴질 수 있습니다.

발뒤꿈치 피로골절의 세 가지 원인
발뒤꿈치 피로골절이 발생하는 원인에는 여러가지 경우들이 있을 수 있지만, 일반적인 주요 원인들은 아래 세 가지에 해당합니다.
과도한 사용 및 반복적인 스트레스
이것은 발뒤꿈치 스트레스 골절의 가장 일반적인 원인에 해당합니다. 주로 달리기, 점프, 춤 등의 발바닥 부위에 지속적이고 반복적인 충격이 가해지는 신체활동을 하는 경우, 시간이 지나면서 발뒤꿈치뼈에 미세한 균열이 생길 수 있습니다. 특히 맨발로 신체활동을 하는 경우에는 더욱더 가능성이 높아집니다.
바닥이 딱딱한 신발
안정성이 떨어지거나, 바닥이 지나치게 딱딱한 신발을 착용한 경우에도 발뒤꿈치 피로골절 발생 위험이 높아질 수 있습니다. 또한 너무 꽉 끼거나 헐렁한 신발을 착용하는 경우도 악영향을 미칠 수도 있습니다
골밀도 문제
일반적으로 골밀도가 비교적 낮거나, 골다공증을 앓고 있는 사람은 피로골절이 발생할 가능성이 높습니다. 그 이유는 뼈의 강도 자체가 일반적인 경우들에 비해 더욱 약하고, 반복적인 스트레스에 취약하기 때문입니다.



발뒤꿈치 피로골절 치료법
발뒤꿈치 피로골절의 치료법은 부상 정도에 따라 다소 차이가 존재하지만, 크게 두 가지 유형으로 나눌 수 있습니다. 바로 집에서 셀프 케어를 하는 방법과, 병원에 방문하는 방법입니다. 부상 정도에 따라 시행하는 치료 요법들을 순서대로 적어드리도록 하겠습니다.
휴식
발뒤꿈치 피로골절 치료요법의 첫 번째이자, 가장 중요한 단계는 통증이 발생한 부위를 쉬게 하는 것입니다. 이는 충격이 큰 신체활동을 피하고 가능한 발에 무게를 싣는 것을 제한하는 것을 의미합니다.
얼음 찜질
환부에 얼음 찜질을 해주면 통증과 붓기를 줄이는데 많은 도움을 줄 수 있습니다. 하루에 3~4번씩, 한 번에 약 15분 동안 아이싱(icing)을 해주면 됩니다.
푹신한 신발
피로골절이 완전히 회복되기 전까지는 바닥이 딱딱한 신발을 최대한 피하고, 되도록 쿠션감이 좋은 푹신한 신발을 착용하는 것이 좋습니다.
진통제
아세트아미노펜이나 이부프로펜과 같은 처방전 없이 살 수 있는 진통제는 통증과 염증 완화에 도움을 줄 수가 있습니다. 만일 통증이 너무 심한 경우라면, 병원 진료 이후에 더 강력한 진통제가 처방될 수도 있습니다.
고정
피로골절의 심각성에 따라, 발을 고정시키고 발뒤꿈치 뼈를 반복적인 손상으로부터 보호하기 위해 깁스나 지지대 등으로 고정할 수도 있습니다.
물리치료
초기의 치료 기간이 지난 후에는 발 전체의 주변 근육들을 강화하고, 전반적인 발의 기능을 향상시키는 데 도움이 되는 물리치료가 필요한 경우도 있습니다.
수술
만약 피로골절 정도가 너무 심한 경우, 골절을 안정화시키거나 손상된 조직들을 제거하기 위한 수술이 필요할 수도 있습니다.
더 이상의 부상을 방지하고 온전한 회복을 위해서는 의사 선생님의 지침을 주의 깊게 따르고 발뒤꿈치 뼈가 치유될 수 있는 충분한 시간을 주는 것이 중요합니다. 회복 시간은 골절의 심각성에 따라 달라질 수 있지만, 일반적으로 몇 주에서 몇 개월 정도는 걸리는 편입니다.

위 그래프는 2021년도를 기준으로 발뒤꿈치뼈 피로골절 및 골절로 인해 병원에 내원한 사람들의 성별, 나이, 수를 나타낸 그래프입니다. 보시다시피 여성 환자들에 비해 남성 환자들의 비율이 눈에 띄게 많으며, 주로 40~60대 남성에게 발생하는 것을 확인할 수 있습니다.
이는 곧 노화로 인한 골밀도 저하와, 동시에 잦은 신체활동으로 인해 주로 발생되는 것으로 예상 됩니다. 해당 내용들이 도움이 되는 내용이었길 바라며 이만 마치도록 하겠습니다. (꼭 쾌유하시길 바랍니다)


