발바닥 아치 통증 원인 요족 증상 치료

빈번한 발바닥 아치 통증의 원인
안녕하세요 비대면 헬스케어 솔루션을 개발중인 문무남이라고 합니다. 오늘은 빈번한 발바닥 아치 통증의 원인에 해당하는 요족(오목발)이라는 구조적인 발의 형태에 대하여 알려드리려고 합니다.
우선 요족이라는 것은 질환이나 증상이 아닌, 발의 구조적인 형태를 의미하는 단어입니다. 하지만 이러한 구조적인 발뼈의 모양으로 인해 족저근막염이나 발목염좌 등 다양한 질환이 유발될 수 있습니다.
일반적으로 정상적인 발모양을 가지고 있는 사람들은 어느정도 발뼈의 아치각을 형성하는 것이 정상이지만, 아치각이 지나치게 커지게 되면 체중이 발바닥 전체에 골고루 분산되기가 어려워집니다. 따라서 보행장애가 발생하는 경우들도 종종 발생하게 됩니다.
지금부터 다양한 발목 질환 및 보행장애를 유발하는 요족의 원인과 증상 그리고 치료법에 대해서 알아보도록 하겠습니다.

요족의 정의
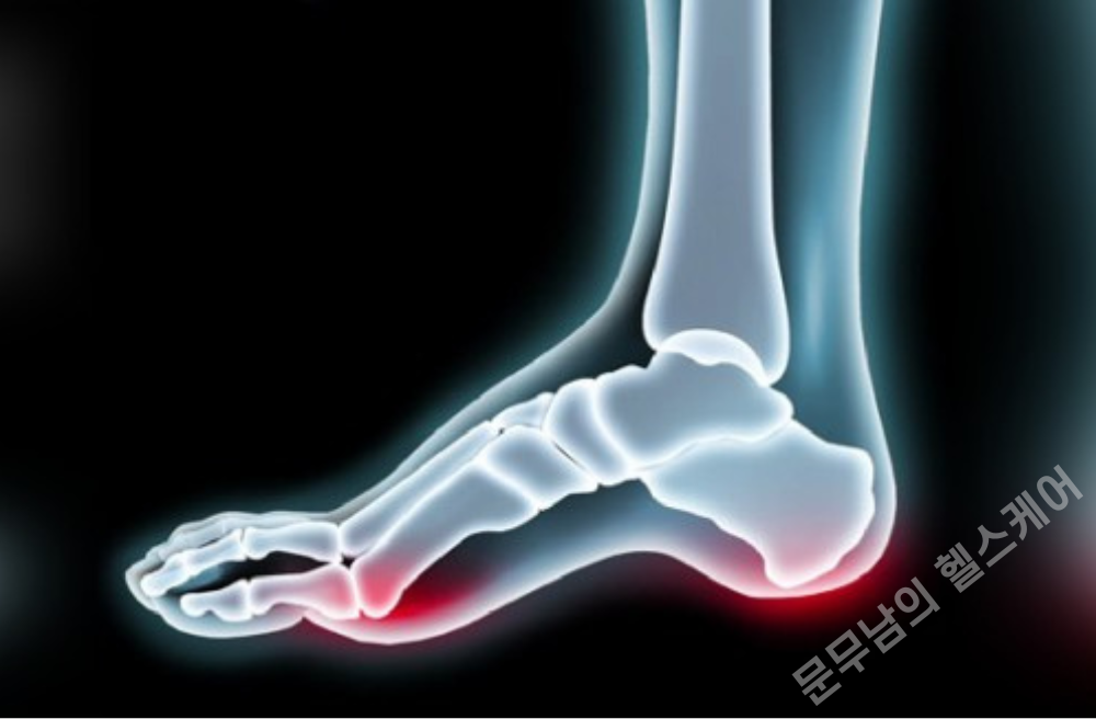
요족이라는 것은 기본적으로 발등이 정상보다 높이 올라와 있는 상태를 의미합니다. 옆에서 보았을 때는 발바닥의 아치가 높아서 발바닥이 위로 오목하게 올라간 것처럼 보이곤 하지요.
이런식으로 지나치게 높은 아치발 형태는, 체중이 발바닥 전체에 골고루 분산되지 못하게 하여 체중이 발뒤꿈치나 앞꿈치 방향으로 쏠리게 합니다. 이러한 상태는 곧 여러가지 근골격계 질환들을 유발하게 됩니다.



요족의 원인
요족은 보통 신경 계통의 질환과 연관되어 발생하는 경우들이 많습니다. 또한 과거에는 요족의 원인을 대부분 알 수 없었는데, 현대에 들어서는 발전된 다양한 검사 방법을 통해 대부분의 원인을 알 수 있게 되었습니다.
성인들에게 나타나는 요족의 원인은 거의 대부분이 신경근육성 질환과 외상에 해당합니다. 신경근육성 질환이란 말 그대로 신경과 근육에 이상이 생겨서 나타나는 질환을 의미합니다.
또한 외상에 의한 요족은 과거에 발을 헛딛어서 넘어지거나, 교통사고 등의 외상으로 인해 골절되었던 발의 뼈가 잘못 붙은 경우들이 주로 해당합니다. 대부분의 요족은 처음에는 증상이 거의 없는 것처럼 보이지만, 서서히 진행되면서 심해지는 경우들이 많습니다.
신경근육성 질환이나 외상뿐만 아니라 만성적인 발목 질환, 하이힐 등의 볼이 좁고 불편한 신발 착용, 잘못된 보행 습관 등 후천적인 요인에 의해서도 요족이 발생하는 경우도 있습니다.



요족의 증상
요족은 평소 걸음걸이와 운동 등 전반적인 신체활동에 부정적인 영향을 미치는 다양한 증상들이 존재합니다. 요족의 일반적인 증상들은 아래와 같습니다.
발바닥 아치 및 발목 통증
요족이 심한 경우, 발의 특정 부위에만 가해지는 압력이 증가하면서 발바닥 아치 부위나 발목 부위에 통증이 발생할 수 있습니다. 이 통증은 일상 활동 중에는 더 심해지고, 휴식 중에는 일시적으로 호전될 수 있습니다.
불안정한 자세
요족은 서 있거나 걷는 동안 신체의 균형을 잡고 안정을 유지하는 것을 더욱더 어렵게 만들 수가 있습니다.
굳은살
보행 습관이나 평소 서 있는 습관에 따라 발의 특정 부위에 가해지는 압력이 증가하면 특정 부위에 굳은살이 생길 수가 있습니다. 주로 발앞꿈치 또는 발뒤꿈치에 주로 굳은살이 잡히게 됩니다. (평소 습관에 따라 다릅니다)
편한 신발을 찾기가 어려움
요족이 있는 사람들은 자신의 발에 맞는 신발을 찾는 데 많은 어려움을 겪을 수 있습니다.
풋드롭(족하수)
경우에 따라 요족은 발을 들어올리는 근육이 약해져 걷는 동안 발을 들기 어려운 상태인 풋드롭이 발생할 수 있습니다. 풋드롭의 주요 증상은 발등을 몸 쪽으로 당기기 어려워지는 것입니다.
발목 유연성 저하
발의 아치가 지나치게 높으면 발과 발목의 유연성이 떨어지면서 특정 동작을 수행하기가 더 어려워질 수 있습니다.
기타 근골격계 질환
요족의 경우 잦은 빈도로 족저근막염 또는 아킬레스건염 등을 유발합니다. 또한 요족으로 인한 발의 불안정성은 만성적인 발목 염좌를 비롯한 기타 부상들의 위험을 증가시킬 수도 있습니다.
이러한 증상들은 요족의 근본적인 원인에 따라 심각도가 달라질 수 있습니다. 발병 초기의 빠른 치료는 더 이상의 합병증을 예방하는 데 도움이 될 수 있기 때문에, 지속적인 발 통증이나 불안정을 경험하셨다면 의학적인 치료를 받는 것이 매우 중요합니다.



요족 치료방법
요족을 치료하는 방법은 근본적인 원인에 따라 너무나도 다양하지만, 일반적으로는 크게 세 가지가 치료 유형이 존재합니다.
맞춤형 패드 제작
요족인 사람들에게 가장 기본적으로 시행되는 치료 요법은 맞춤형 요족 깔창입니다. 맞춤형 요족 깔창은 개인의 발에 맞게 제작되며, 발에 가해지는 압력을 재분배하고 발의 기능을 향상시켜 통증과 불안정성을 효과적으로 감소 시킬 수 있습니다.
물리치료
물리치료를 통한 스트레칭과 발과 발목의 근육 강화에 초점을 맞춘 운동들은, 발의 기능 향상과 증상 감소에 도움을 줄 수 있습니다. 물리치료사는 요족을 앓고 있는 사람들에게 각각의 필요한 맞춤형 운동 프로그램을 설계하기도 합니다.
수술
종종 구조적인 골격 문제, 지나친 아치를 유발하는 타이트한 연조직들을 제거하기 위해 수술이 필요한 경우도 존재합니다. 구체적인 수술 과정은 요족의 근본적인 원인에 따라 달라지게 되는데 경우에 따라서 큰 효과를 보기도 합니다.
요족에는 천편일률적인 치료법이 존재하지 않습니다. 구체적인 치료 방법은 증상의 근본적인 원인과 증상의 심각성에 따라 결정된다는 점을 유의해야만 합니다.
요족으로 인해 빈번한 통증으로 고생하시는 분들은 집에서 어설프게 재활을 하시는 것보다는, 반드시 족부 전문병원이나 정형외과를 찾아서 정확한 진단과 함께 맞춤형 치료를 받는 것이 가장 현명한 방법입니다.

위 그래프는 2021년을 기준으로 요족으로 인해 병원에 내원하는 환자들의 성별, 연령, 수를 나타낸 그래프입니다. 요족으로 인해 내원을 하는 사람들은 의외로 10 ~ 20대 남성들이 많은 것으로 확인 됩니다.
해당 그래프를 통하여 요족의 원인이 선천적인 뼈의 구조적 문제에 영향을 많이 받는 것을 예상해볼 수 있습니다. 여성분들의 경우 특히나 50대 분들이 요족으로 내원하는 점이 궁금해지기도 합니다.
요족으로 인해 발뒤꿈치 통증이나, 족저근막염을 앓고 계시는 분들은 아래 글을 참고하시길 바랍니다
운동 후 발바닥뼈 통증과 저림 증상 치료법
운동 후 발뒤꿈치뼈 통증 및 저림 증상 원인 안녕하세요 문무남의 헬스케어입니다. 운동 후에 발뒤꿈치뼈가 욱신거리고 저리는 통증이 느껴지시나요? 잘 오셨습니다. 이곳에서 해당 통증의 원
jaid.2quater.com
족저근막염 원인과 증상 치료법
족저근막염 원인 증상 치료법 안녕하세요 문무남의 헬스케어입니다. 오늘은 발바닥 통증, 저림 증상의 주요 원인 중 하나인 족저근막염의 원인과 증상 및 치료법에 대하여 설명드리려 합니다.
jaid.2quater.com